더365치과의 자부심, 임플란트

23-09-13 더365치과




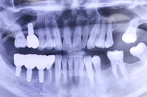
BEFORE
AFTER
연령/성별
치료 유형 임플란트
치료 시작일
치료 완료일
주치의 멘트

양쪽 모두 어금니 상태가 좋지 못하여 음식을 제대로 드시지 못하는 상태의 환자분 진료 내용입니다.

치아가 온전치 못하여 음식을 씹는 데에 불편함이 따르면 그만큼 삶의 질도 크게 떨어지게 되는 것이 사실인데요.

저희 더365치과는 임플란트에 특화된 진료를 진행하고 있어, 임플란트 후 '씹는 즐거움'을 되찾고 기뻐하는 분들을 볼 때 자부심을 느낍니다. ^^

진료일지를 통해서 그 일례를 살펴봐 주시기 바랍니다.