상담문의 02. 6959. 3665
더365 특별함
분과별 진료센터
의료진소개
오시는길
더365 TV
더365 진료일지
더365 특별함
분과별 진료센터
의료진소개
오시는길
더365 TV
더365 진료일지
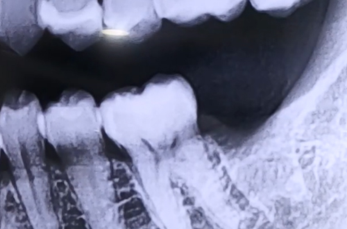
어금니 임플란트 진행 시 주의할 점
23-07-11
더365치과
BEFORE
AFTER
연령/성별
치료 유형
어금니 임플란트
치료 시작일
치료 완료일
주치의 멘트
어금니 임플란트를 위해 내원해 주신 환자분이십니다.
해당 환자분의 경우 임플란트 식립 위치와 하치조 신경이 가까우셨는데요.
어금니 임플란트 진행 시에는 그 아래쪽을 지나가는 하치조 신경의 위치를 정확하게 체크하여, 신경에 닿지 않게 하는 것이 매우 중요합니다.
따라서 CT 촬영을 통해 신경의 위치와 신경까지의 거리를 파악한 뒤 그에 맞는 길이의 임플란트를 사용하여 치료를 진행해야 합니다.
더365치과
빠른상담
(메인)-간편 상담신청
*개인정보 수집 동의