윗니 전체 임플란트 사례

23-06-12 더365치과




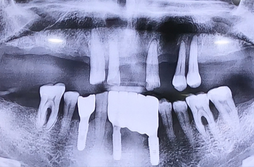
BEFORE
AFTER
연령/성별
치료 유형 전체임플란트
치료 시작일
치료 완료일
주치의 멘트
대부분의 윗니가 심하게 흔들린 후 빠진 상태이고,
남은 윗니들도 빠지기 직전인 상태로 내원하신 환자분입니다.
아랫니 상태는 양호하였으므로 상태가 많이 안 좋은 윗니의
전체 임플란트 치료를 진행하게 되셨는데요.
검사를 해 보니 오른쪽 위 송곳니는 단단하게 상태가 좋았으므로
해당 송곳니를 남겨두고 나머지 전체 임플란트를 하기로 결정했습니다.
임플란트 치료는 시간이 걸리는 치료이고, 그 기간 동안 임시 치아를 해드리지만
저작기능을 제대로 발휘할 수 없으므로, 불편함을 덜어드리기 위하여
씹을 수 있는 치아가 남아 있다면 그 치아를 남기고 전체임플란트를 합니다.
임플란트 식립 후 4개월 간 굳는 기간을 기다리고 예쁘게 보철까지 완성해 드렸습니다.