임플란트 즉시식립/지연식립 동반 사례

23-06-12 더365치과




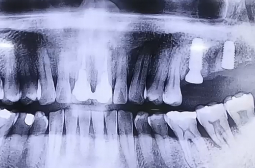
BEFORE
AFTER
연령/성별
치료 유형 윗니 어금니 임플란트
치료 시작일
치료 완료일
주치의 멘트
오른쪽 어금니의 불편함으로 내원해주셨던 환자분입니다.
검사를 해 보니 왼쪽 치아 상태가 눈으로도 흔들림이 보일만큼
많이 좋지 않았고, 그 탓에 오랫동안 오른쪽으로만 지속적으로
음식을 씹어 드시다 보니 오른쪽 치아도 안 좋아진 것이었는데요.
근본적인 원인이 왼쪽 위 어금니의 잇몸에 있었던 것입니다.
따라서 오른쪽은 잇몸 치료로 더 나빠지지 않도록 관리를 해 드리고
왼쪽으로 음식을 드실 수 있도록 왼쪽은 발치 후 임플란트를 계획했습니다.
왼쪽 위 어금니 두 개를 발치하게 되었는데, 
하나는 잇몸 뼈의 상태가 괜찮아 즉시 식립으로 진행하였고
하나는 잇몸 뼈가 단단하지 않아서 염증을 깨끗이 치료하고 뼈이식을 한 뒤
기다렸다가 진행하는 지연 식립 임플란트로 진행한 사례입니다.