하악골융기로 인한 임플란트 특수 케이스

23-06-12 더365치과




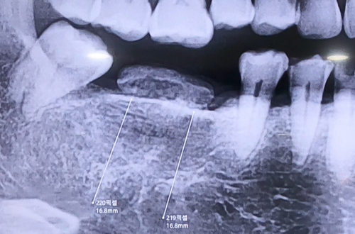
BEFORE
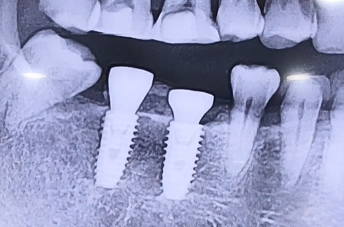
AFTER
연령/성별
치료 유형 어금니임플란트
치료 시작일
치료 완료일
주치의 멘트
발치한지 오래된 오른쪽 아래 어금니 두 개를
회복시키기 위한 임플란트를 위해 내원하신 환자분이십니다.
엑스레이를 찍어 보니, 이를 뺀 지 오래 되어 잇몸이 아물어
잇몸뼈는 단단하고 상태가 좋았는데, 임플란트를 하려는 부위
위쪽으로 튀어나온 무언가가 보여 더 정밀하게 검사하였습니다.
환자분은 치아 주위를 둘러싼 뼈들이 볼록하게 튀어나온 형태인
하악골융기가 일반적인 경우보다 컸고 치아 바깥쪽으로도
많이 튀어나와 있어서 식립 위치를 정확하게 잡아야 했습니다.
때문에 CT촬영을 통해 정확한 잇몸뼈 모양과 구조를 파악하고
임플란트를 진행한, 조금 특수한 케이스였습니다.