브릿지 제거 후 임플란트 치료 사례

23-05-30 더365치과




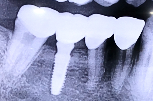
BEFORE
AFTER
연령/성별
치료 유형 임플란트 수술, 보철 치료
치료 시작일
치료 완료일
주치의 멘트

아주 오래전에 브릿지 치료를 받았던 어금니의 잇몸이 자꾸 붓고 염증이 생기고 씹을 때마다 통증이 있는 등의 증상으로 내원해주신 환자분입니다.

오른쪽 아래 뒤에서 두번째 큰 어금니를 예전에 발치한 뒤 브릿지 치료를 받으신 상태로, 브릿지 보철이 가진 단점 탓에 통증, 부기, 염증 등 잇몸 증상들이 나타나고 있는 상태셨는데요.

브릿지가 가진 특징 때문에 생기는 증상이므로, 브릿지를 제거한 뒤 치아 한 개씩 정상적인 힘만 받도록 개별적으로 치아를 씌워드리고 이가 없는 자리에는 임플란트를 식립하여 치료해 드렸습니다.

브릿지 치료는 최근 임플란트의 활발한 보급과 더불어 잘 진행되지 않습니다만, 임플란트를 하기에 부적절한 잇몸이나 치아 상태에서는 더 나은 결과를 얻기도 하는 등 각각 장단점이 있으므로, 케이스에 따라 임플란트와 브릿지를 선택적으로 진료하는 것이 중요하겠습니다.