임플란트와 함께 앞니 치료 진행한 사례

23-05-16 더365치과




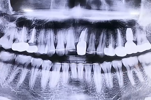
BEFORE
AFTER
연령/성별
치료 유형 어금니 임플란트, 앞니 충치 치료
치료 시작일
치료 완료일
주치의 멘트

본래 저희 병원에서 어금니 임플란트 치료를 진행하고 계셨던 환자분으로 치아와 잇몸의 상태 등 여러 조건이 양호해서 어렵지 않게 임플란트 하고 계셨던 분입니다.

임플란트 식립 후 굳을 때까지 4개월을 기다리면서 경과를 보기 위해 내원해 검사를 받게 되는데요.

검진을 위해 오신 환자분께서, 얼마전부터 앞니에 염증이 생기고 붓는다고 앞니 검사를 해 보고 싶다고 요청을 해 주셨습니다.

그래서 불편해하시는 앞니를 정밀하게 검사해본 결과, 이전에 보철치료를 했던 앞니 부분의 안쪽에 충치가 발생했고, 그 충치를 중심으로 겉으로 염증이 발생한 상태로 보였습니다.

이렇게 안쪽에 생긴 염증이 바깥쪽으로 빠져나갈 통로가 없어서 잇몸이 붓고 터지는 것인데요.

치아는 그대로 살리면서 안쪽 충치를 치료한 뒤 염증을 깨끗이 긁어내고 잇몸을 닫는 치주 수술을 진행해드리며 임플란트 역시 함께 마무리 해 드렸던 케이스입니다.