CT촬영을 활용한 임플란트 사례

23-05-16 더365치과




BEFORE
AFTER
연령/성별
치료 유형 어금니임플란트
치료 시작일
치료 완료일
주치의 멘트

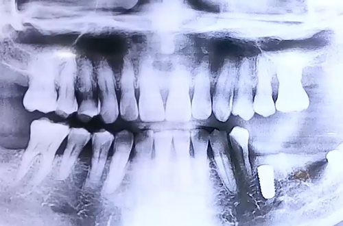
왼쪽 어금니에 지속적인 통증을 느끼고 내원해주셨던 환자분입니다.

엑스레이를 찍어보니 왼쪽 위아래 어금니가 흔들리고 있었고, 주위 잇몸이 많이 약해지고 염증도 있는 상황이었습니다. 

약해진 잇몸 탓에 치아가 흔들리니 음식이 잘 씹어지지 않았던 것이죠.

잇몸의 높이가 내려가면서 그 부분에 음식물이 더 잘 끼면서 염증이 잘 생기게 되는데, 환자분도 그런 케이스를 보이고 계셨습니다.

때문에 위아래 약해진 치아를 빼고 임플란트 진행을 계획하였는데요.

아래 어금니의 경우 아래턱을 따라 지나가는 하치조신경과 가깝기 때문에 CT촬영을 하여 신경의 정확한 위치를 파악한 후 임플란트 진행하게 되었습니다.

치과에서 특히 아랫니 치료를 할 때에 CT촬영을 하는 이유와 그 과정, 그리고 실제 CT 사진이 어떻게 보이는지 진료일지에 담아보았습니다.