염증이 있는 잇몸에 임플란트 식립 사례

23-05-02 더365치과




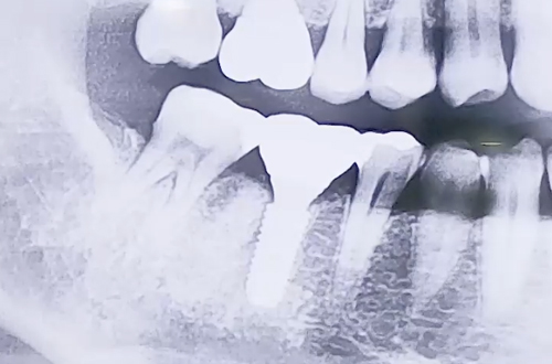
BEFORE
AFTER
연령/성별
치료 유형 어금니임플란트
치료 시작일
치료 완료일
주치의 멘트
오른쪽 아래 큰 어금니가 굉장히 심하게 붓고 통증이 있는 상태로
내원해 주신 환자분의 사례로, 해당 치아의 흔들림이 심했습니다.
엑스레이를 찍어보니 어금니의 뿌리 중 하나의 주변으로 염증이 생기면서
치아를 단단히 잡아주는 힘이 약해져 흔들리고 통증이 있던 것이었는데요.
때문에 발치 후 임플란트를 시행하기로 하였으나, 발치한 자리 가운데에
식립하기에는 염증으로 약해진 잇몸이 고민스러웠습니다.
때문에 염증을 피해 살짝 옆쪽으로 심고, 염증 부분은 치료한 뒤
뼈이식으로 정리해 드리는 방향으로 치료해 드렸습니다.