임플란트의 구조와 A/S 진행 방식

23-05-02 더365치과




BEFORE
AFTER
연령/성별
치료 유형 어금니임플란트
치료 시작일
치료 완료일
주치의 멘트
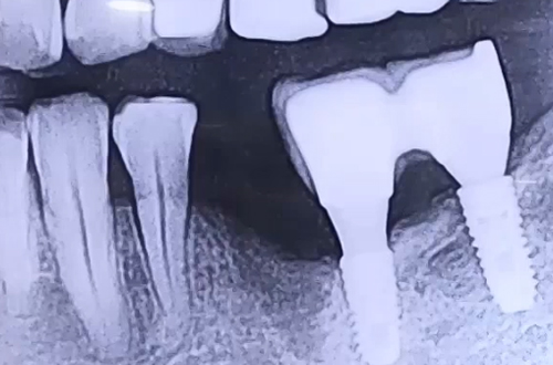
임플란트는 몸통 부분과 머리 부분 (임플란트 보철 부분), 중간 보철로 이루어져 있습니다.
임플란트 수술 시 우선 몸통 부분을 잇몸에 식립한 뒤
단단히 굳고 나면 그 위에 머리 부분인 임플란트 보철을 연결하는데요.
이 연결을 해 주는 것이 중간보철 구조물이라고 할 수 있겠습니다.
임플란트 몸통 안쪽에는 나사 홈이 있어서, 중간 부품은 바로 거기에 들어가
나사로 조여주며 고정되고 결합이 되며, 이 나사는 머리 부분의 보철 안 구멍으로 볼수 있죠.
이 구멍은 이후 치아 색과 같은 재료로 덮어 채워주게 되는데요.
이런 구조로 이루어져 있기 때문에 임플란트 A/S가 필요한 경우,
머리 부분의 구멍을 통해 나사를 풀어 임플란트의 모든 부품을 분해해 
보다 간편하게 A/S를 진행할 수 있습니다.