어금니 임플란트 사례

23-04-18 더365치과




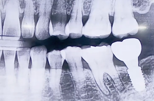
BEFORE
AFTER
연령/성별
치료 유형 어금니임플란트
치료 시작일
치료 완료일
주치의 멘트
왼쪽 아래 어금니가 음식을 씹을 때마다 통증이 있어
본원을 내원해 주셨던 환자분의 사례입니다.
왼쪽 아래 뒤에서 두번째 큰 어금니의 뿌리 주변으로 잇몸이 약해지면서
염증이 생기고, 치아가 굉장히 많이 흔들리고 있었습니다.
잇몸이 원인이 된 상황이므로 해당 치아를 발치하고 임플란트를 결정하였습니다.
발치 즉시 임플란트를 식립하고 빈 공간을 뼈이식으로 채운 뒤,
임플란트 기간동안 해당 부분을 보호할 수 있도록 힐링 어버트먼트를 사용했습니다.
임플란트가 굳기까지 4개월을 기다린 후 보철을 연결하여 치료를 마무리하였습니다.