앞니 임플란트 사례

23-04-18 더365치과




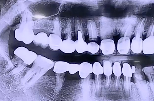
BEFORE
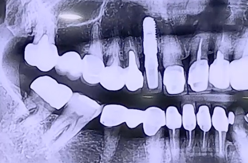
AFTER
연령/성별
치료 유형 앞니임플란트
치료 시작일
치료 완료일
주치의 멘트
불편함을 느끼시는 치아를 살펴보니, 앞니부터 어금니까지
6개의 보철이 전부 붙어있는 형태를 하고 계셨던 환자분이십니다.
오른쪽 두번째 앞니 보철 안쪽으로 충치가 생기며 잇몸이 붓고 아프셨는데,
보철의 구조와 치료가 필요한 앞니의 상태가 발치를 한 뒤 임플란트를 
진행해야 하는 상황이었기 때문에 앞니 보철을 절단하고 임플란트를 해 드렸습니다.
앞니이기 때문에 잇몸 모양까지 자연스럽게 해 주기 위하여 임플란트 식립과
임시치아를 제작하고 붙일 때의 잇몸 모양까지 신경을 썼고
최종 보철까지 예쁘게 완성되었던 사례입니다.