매복 사랑니 치료 사례

23-04-10 더365치과




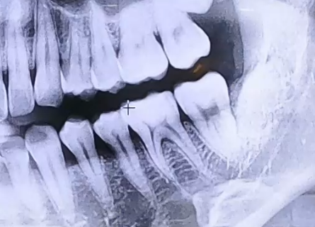
BEFORE
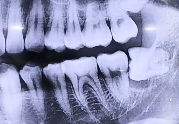
AFTER
연령/성별
치료 유형 사랑니 발치
치료 시작일
치료 완료일
주치의 멘트
사랑니로 인한 극심한 통증으로 내원해 주신 환자분입니다.
검사를 진행해 보니 매복 사랑니를 갖고 계셨고, 이 사랑니 아래쪽으로
잇몸에 염증이 생겨 잇몸뼈들이 녹아내리고 있었는데요.
해당 부위의 잇몸이 전반적으로 약해져 있었기 때문에
사랑니 발치 후 그 앞쪽 어금니들의 상태도 주의깊게 살펴야 했습니다.
다행히도 어금니는 많이 흔들리지는 않는 상황이었으므로 사랑니를 발치하고,
약해진 잇몸뼈가 회복될 수 있도록 한 뒤 뼈의 높이를 올리고 보강해 주기 위한
뼈이식 치료를 함께 진행해 드렸습니다.