임플란트/보철/사랑니발치 치료 사례

23-04-10 더365치과




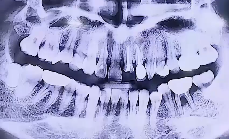
BEFORE
AFTER
연령/성별
치료 유형 임플란트, 보철치료, 사랑니 발치
치료 시작일
치료 완료일
주치의 멘트
왼쪽 아래 어금니 통증으로 내원해주신 환자분이십니다.
왼쪽 아래 뒤에서 두번째 큰 어금니를 타 치과에서 신경치료 후
보철치료까지 마무리하신 상태였는데, 그 주변 잇몸에 염증이 생기며
굉장히 부어 오르고 통증이 심했던 것으로 확인되었습니다.
해당 치아는 겉으로는 보이지 않는 잇몸 속에 염증이 생긴 것이기 때문에
잇몸치료를 해도 치아가 안 좋아질 가능성이 크므로 발치 후 임플란트를 결정하였습니다.
또한 위 앞니는 깨져있어서 기둥을 세우고 치아를 복원하는 보철치료를 진행하였어요.
오른쪽 아래 매복사랑니가 앞쪽 치아를 향해 옆으로 누워 아주 조금 나와 있어,
그쪽에 음식물이 끼면서 염증이 생길 수 있기 때문에 발치를 해드렸습니다.