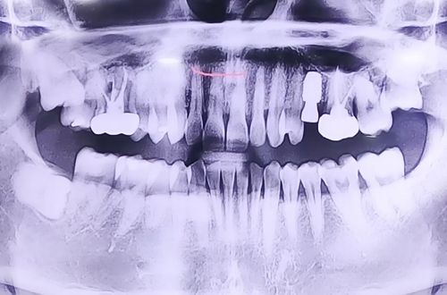
왼쪽 위 부러진 어금니 임플란트

22-04-01 더365치과




BEFORE
AFTER
연령/성별
치료 유형 발치 후 임플란트
치료 시작일
치료 완료일
주치의 멘트

왼쪽 위 어금니 쪽에 극심한 통증을 호소하신 환자분이십니다. 

X-ray 상에서는 치아에 큰 이상이 없어 보였지만 치아를 자세히 검사해 보니 왼쪽 위 어금니가 반으로 쪼개진 상태로 발치 이후 즉시 임플란트 치료를 진행하였고 뼈가 비어있는 부분들은 임플란트 주변 뼈이식을 진행해 드리면서 마무리해드렸습니다. 

현재는 임플란트 위로 치아머리를 만들기 위한 부품을 끼워 놓은 상태이며 추후 임플란트가 단단히 자리 잡고 난 뒤 보철이 완성되면 다음 진료일지로 찾아뵙도록 하겠습니다! ^^