깨진 어금니 임플란트 치료 사례

23-02-28 더365치과




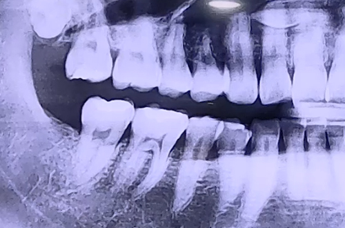
BEFORE
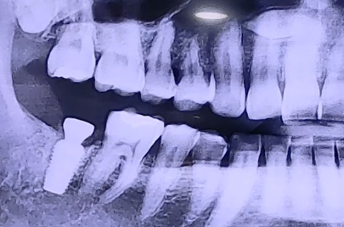
AFTER
연령/성별
치료 유형 어금니임플란트
치료 시작일
치료 완료일
주치의 멘트
충치 치료를 진행한 치아에서 음식을 씹을 때마다 지속적으로 불편감을 느끼던 도중
어느 순간 극심한 통증을 느끼고 내원해 주셨던 환자분의 사례입니다.
치아 상태를 정밀검사 해본 결과, 골드인레이가 진행된 오른쪽 어금니에서
인레이 뒤쪽으로 치아가 쪼개져 금이 생겨있는 것이 발견되었는데요.
치아가 쪼개지면서 신경에도 통증을 유발해 아프셨던 것입니다.
이런 경우 금의 깊이가 머리부분까지로 깊지 않으면 신경치료 진행 후에
통증이 사라지면 크라운 치료로 마무리를 해 주게 되는데,
환자분께서는 뿌리 깊이까지 금이 가 있는 상태였기 때문에
당일 발치 후 임플란트 치료를 진행해 드렸습니다.
임플란트가 단단히 굳는 기간을 4개월 정도 기다린 후
어금니 보철이 완성되면 마무리 해 드릴 예정입니다. ^^