어금니 염증치료 및 발치, 임플란트 사례

23-02-02 더365치과




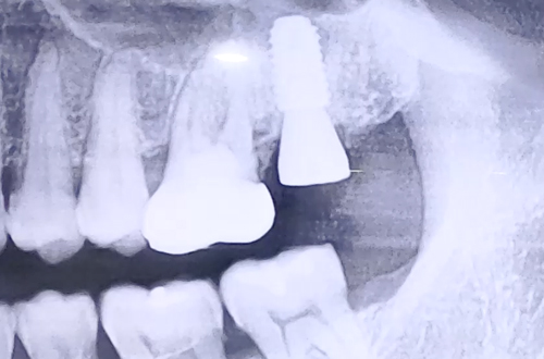
BEFORE
AFTER
연령/성별
치료 유형 어금니 임플란트
치료 시작일
치료 완료일
주치의 멘트

왼쪽 위 큰 어금니의 통증을 호소하며 내원해 주셨던 환자분이신데, 환자분 본인도 아마도 이를 빼야 할것 같다고 말씀하실 정도의 상태이셨습니다.

가능한 자연치아를 쭉 가져가는 것이 좋으므로 자세히 검사해 보고 그 다음에 이를 빼자고 하여 엑스레이를 찍어보니 염증이 발견되었습니다.

신경치료가 되어 있던 치아이므로 치아가 건강하다면 빼지 않고 치료할 수 있으나 이가 많이 흔들리고 있어 살리기 어렵다 판단하고, 발치 후 임플란트를 계획하였습니다.

더 튼튼하고 효율적인 임플란트 치료를 위해 CT 촬영으로 염증의 위치를 정확하게 파악하는 정밀검사를 더하였고, 염증을 제거해준 뒤 비교적 튼튼히 남아있는 잇몸뼈 쪽으로 식립 후 뼈이식으로 단단히 해 드렸습니다.

꼼꼼한 검진의 중요성을 일깨울 수 있었던 케이스로, 최종 보철까지 마무리되면 다시 진료일지로 찾아뵙겠습니다. ^^