뼈이식 임플란트 지연식립 사례

23-02-02 더365치과




BEFORE
AFTER
연령/성별
치료 유형 뼈이식 임플란트 (지연식립)
치료 시작일
치료 완료일
주치의 멘트

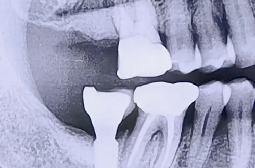
발치를 한 후에 한달 이상 시간이 지났음에도 잇몸이 아물지 않아 임플란트에 앞서 뼈이식을 앞서 계획해 드린 환자분이십니다.

발치 후 잇몸이 아무는 속도는 이를 뺄 당시의 잇몸 상태에 따라 달라지는데요.

한달 이상 아물지 않은 것을 보면 당시 잇몸 상태가 많이 안 좋고 염증도 심하셨던 것이 아닌가 추정해 볼 수 있습니다. 그 영향으로 임플란트가 들어갈 자리의 잇몸뼈가 거의 없으셨습니다.

이 상태로 임플란트를 식립할 수는 없기 때문에 우선 뼈이식을 통해서 잇몸뼈를 충분히 보강하고 단단해지기까지 기다렸다가 임플란트를 식립하는 지연식립으로 계획하시고, 뼈이식 치료를 우선적으로 진행하신 케이스입니다.