임플란트 마무리 및 발치 후 지연 식립 사례

22-10-18 더365치과




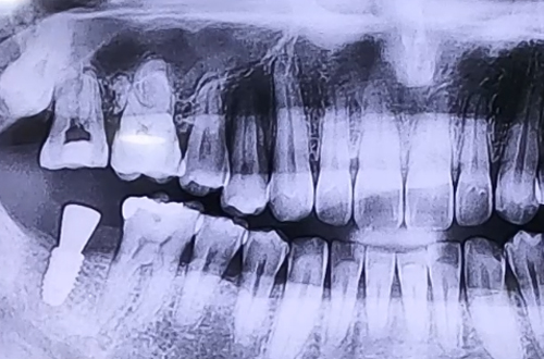
BEFORE
AFTER
연령/성별
치료 유형 임플란트 보철 및 발치 후 임플란트 지연 식립
치료 시작일
치료 완료일
주치의 멘트

기존에 임플란트를 받던 치과가 문을 닫게 되어 치료가 중단된 것과 작은 어금니의 통증으로 내원해 주신 환자분이십니다.

본원에서는 다양한 종류의 임플란트를 취급하고 있기 때문에 어떤 임플란트를 사용했든 중단된 치료를 이어서 마무리할 수 있어 꼭 맞는 보철을 제작하여 마무리를 해 드렸습니다.

통증을 호소하신 어금니는 염증으로 인해 잇몸이 많이 약해져 있었으므로 발치 후 염증을 먼저 치료하는 기간을 가진 위 임플란트를 진행하는 지연 식립을 결정하였습니다.

잇몸이 충분히 단단해진 뒤 뼈이식과 함께 골유착에 용이한 임플란트를 선택하여 진행했어요.

임플란트가 단단히 굳고 보철이 완성되면 진료일지를 통해 다시 찾아뵙겠습니다. ^^