잇몸치료 및 즉시 임플란트 사례

22-10-07 더365치과




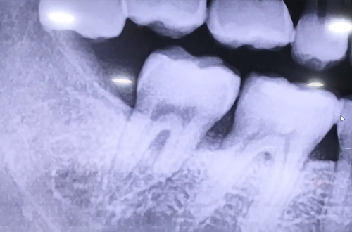
BEFORE
AFTER
연령/성별
치료 유형 어금니 즉시 임플란트
치료 시작일
치료 완료일
주치의 멘트
오른쪽 큰 어금니의 붓기로 내원해 주신 분으로,
겉으로는 보이지 않는 잇몸 안쪽의 염증이 발견되신 사례입니다.
이렇게 잇몸에 염증 등 질환이 발견된 경우 전체적인 치아 상태를 검사하고
잇몸 치료를 꼼꼼히 해 드리며 필요한 조치를 시행하게 되는데요.
본 사례의 경우 잇몸 치료와 함께 문제가 발생한 부분의 어금니를 발치한 후
즉시 임플란트를 진행하였고, 그 주변의 자연치아 어금니의 잇몸도
상태가 나빠지지 않도록 지속적인 관리에 힘쓸 것입니다.
치아 보철까지 잘 마무리된 모습도 추후 진료일지를 통해 찾아뵙겠습니다. ^^