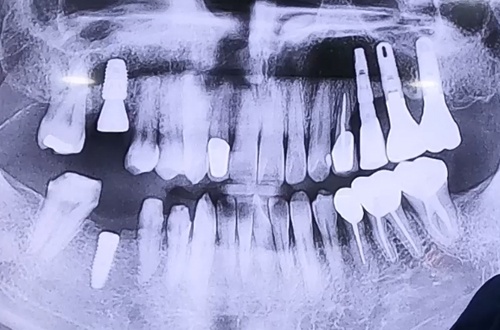
어금니 발치 후 즉시 임플란트 사례

22-10-04 더365치과




BEFORE
AFTER
연령/성별
치료 유형 어금니 즉시 임플란트
치료 시작일
치료 완료일
주치의 멘트
깊은 충치로 인해 오른쪽 어금니가 깨져서 복원할 수 없어 
발치 후 즉시 임플란트를 진행한 사례입니다.
상한 치아를 빼시고 그 자리에 바로 임플란트를 심은 뒤,
빈 공간을 뼈이식으로 단단히 채워주고 보호를 위해 덮개를 덮어 마무리해 드렸습니다.
그 외 주변 뼈들은 굉장히 좋으셔서 임플란트 진행이 어렵지는 않았어요~
그 외에 다른 치아들도 전반적으로 살피고 전체적인 치료 계획을 세우셨답니다!
환자분은 임플란트가 단단히 붙어 자리 잡을 때까지 4개월 정도 기다린 후
다음 치료를 진행할 예정이며, 치아가 완성되면 다음 진료일지로 찾아뵙겠습니다. ^^