뼈이식을 동반한 앞니 임플란트 사례

22-09-14 더365치과




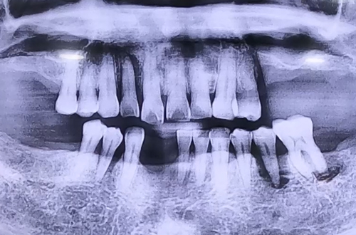
BEFORE
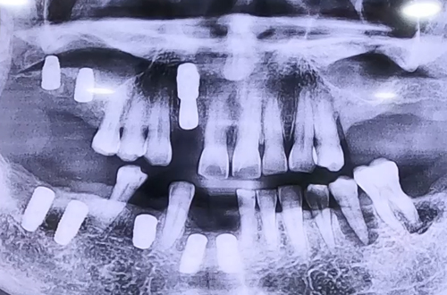
AFTER
연령/성별
치료 유형 뼈이식 임플란트 / 앞니 임플란트
치료 시작일
치료 완료일
주치의 멘트
잇몸의 문제로 어금니 등 여러 치아를 뺀 상태로 내원해 주셨던 환자분으로,
윗니, 아랫니의 앞니 임플란트까지 전반적인 임플란트 치료를 계획하고 진행 중인 환자분입니다.
이를 빼고 시간이 흐르면서 좌우 위아래 모두 어금니들의 잇몸뼈가 많이 약해져 있어
잇몸뼈를 튼튼하게 회복시키고, 주위 신경 등에 주의하며 안전하게 임플란트 진행을 계획하였습니다.
특히 앞니는 엑스레이로 보았을 때 잇몸뼈가 상당히 얇아진 상태였기 때문에 임플란트 수술을 
진행하면서 필요 시 뼈이식을 진행하기로 하여, 확인 후 뼈이식 임플란트를 시행한 케이스입니다.
오른쪽을 먼저 진행하였고 추후 왼쪽도 진행할 예정으로, 임플란트가 전반적으로 진행되면
다시금 진료일지를 통해 전달 드리도록 하겠습니다. ^^