오른쪽 아래 송곳니 통증으로 인한 임플란트 사례

22-08-17 더365치과




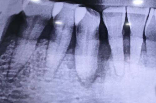
BEFORE
AFTER
연령/성별
치료 유형 송곳니 임플란트
치료 시작일
치료 완료일
주치의 멘트
풍치로 인한 오른쪽 아래 송곳니의 통증으로 방문하신 환자분이십니다.
송곳니 주변 잇몸뼈들이 많이 녹아내려 치아를 단단하게 잡지 못하는 상태셨습니다.
송곳니 주변으로 염증이 발생하였고 흔들림이 심한 치아를 발치한 뒤 염증을
제거하고 뼈이식을 병행하여 임플란트를 당일에 바로 식립해 드렸습니다.
임시치아를 완성하여 마무리한 상태로 임플라트가 뼈와 단단하게 붙는 기간
4개월 정도 충분히 기다렸다가 옆에 있는 치아 색상과 똑같이 제작해서
예쁜 보철을 제작해 드릴 예정입니다.
추후에 임플란트 수술이 진행되고 보철도 완성이 되면
다음 진료일지로 다시 찾아뵙도록 하겠습니다^^!