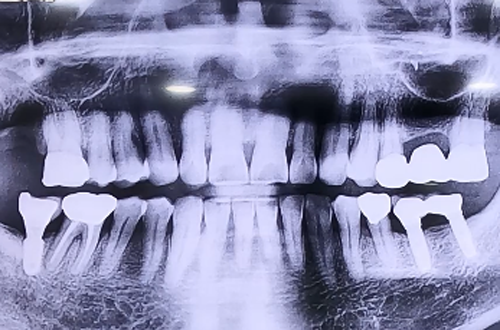
뼈 이식이 필요한 임플란트 진행 사례

22-07-15 더365치과




BEFORE
AFTER
연령/성별
치료 유형 뼈 이식 임플란트
치료 시작일
치료 완료일
주치의 멘트

한 달 전 다른 치과에서 오른쪽 가장 큰 어금니를 뺀 주변의 뼈들이 다 녹고 잇몸이 많이 약해져 있었던 환자분이십니다. 

잇몸뼈가 많이 약해져 있어 뼈 이식을 하신 뼈들이 단단하게 굳으면 이후 임플란트를 진행하는 것으로 계획을 잡고 진행하였습니다.

뼈 이식 이후 뼈들이 흩어지지 않도록 차폐막을 덮어드리며 위쪽으로 잇몸을 꿰매어 마무리해 드렸습니다.

6개월이라는 기간을 충분히 기다렸다가 단단해진 뼈 위에 임플란트를 심고 윗 쪽으로 치아머리 부분 큰 어금니까지 예쁘게 완성할 계획입니다.

추후에 임플란트 수술이 진행되고 보철도 완성이 되면 다음 진료일지로 다시 찾아뵙도록 하겠습니다^^!