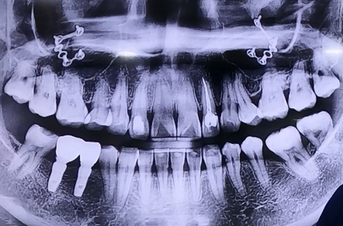
임플란트 할 때 주의해야 하는 하치조 신경

22-07-14 더365치과




BEFORE
AFTER
연령/성별
치료 유형 어금니 임플란트
치료 시작일
치료 완료일
주치의 멘트
오른쪽 아래 임플란트 보철을 완성하고 최근에는 왼쪽도 임플란트를 
진행하면서 신경에 닿지 않도록 실시간으로 확인하며 진행해 드린 환자분이십니다.
수술시간은 다른 환자분들보다 조금 더 걸리는 수술이었지만 하치조 신경에 
닿지 않고 안전하게 수술하는 게 가장 중요했던 케이스입니다. 
임플란트를 심어드린 다음 잇몸뼈가 부족한 부분은 뼈이식을 통해 단단하게 마무리해 드렸습니다.
추후 임플란트 보철 머리 부분 올라가시게 되면 
다음 진료일지로 찾아뵙도록 하겠습니다^^!