아랫니 임플란트 진행 시 주의해야 할 점

22-07-04 더365치과




BEFORE
AFTER
연령/성별
치료 유형 아랫니 뼈이식 임플란트
치료 시작일
치료 완료일
주치의 멘트

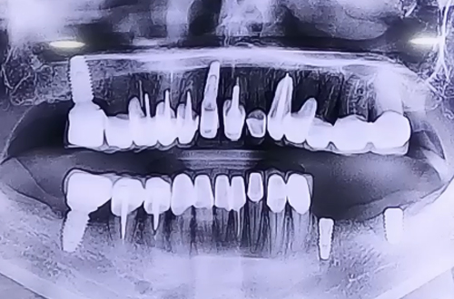
왼쪽 아래 발치한 부분에 임플란트를 이용하여 다시 회복시킬 계획으로 병원에 방문하신 환자분이십니다.

발치되어 있는 부분의 잇몸이 많이 내려가 있는 케이스로 임플란트를 심으면서 눌릴 가능성이 높아 신경 바로 위까지만 임플란트를 심고 나머지 부위들은 주변으로 뼈이식을 병행하여 꼼꼼하게 진행해 드렸습니다.

신경 바로 위쪽으로 임플란트 두 개를 안전하게 심으며 양쪽 임플란트를 브릿지 형태로 왼쪽 아래 보철을 완성 시킬 계획입니다.

주변에 뼈이식하신 뼈들이 단단하게 굳는 기간을 기다리셨다가 위 쪽으로 머리 부분 보철을 올리실 때 다음 진료일지로 찾아뵙도록 하겠습니다. ^^!