상악동거상술을 동반한 뼈이식 임플란트

22-06-09 더365치과




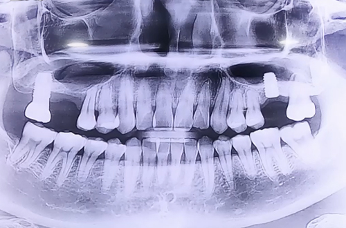
BEFORE
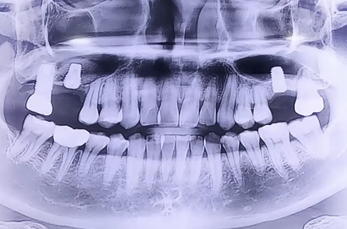
AFTER
연령/성별
치료 유형 상악동거상술 뼈이식 임플란트
치료 시작일
치료 완료일
주치의 멘트

상악동거상술을 동반한 뼈이식 임플란트로 추정되는 부분에 염증이 생기면서 반대편에 임플란트를 진행하기 위해 방문하신 환자분이십니다.

반대편 오른쪽 위에도 뼈가 조금 남아있는 상태였기 때문에 상악동거상술을 동반하여 뼈이식을 진행해 드렸습니다.

뼈이식 이후 임플란트까지 당일 식립해 드렸으며 뼈이식의 양이 많기 때문에 뼈들이 단단해지는 기간인 6개월 이상 충분히 기다린 뒤에 큰 어금니 모양의 이를 제작해 드릴 예정입니다.

예쁜 보철이 완성되면 다음 진료일지로 찾아뵙도록 하겠습니다. ^^!