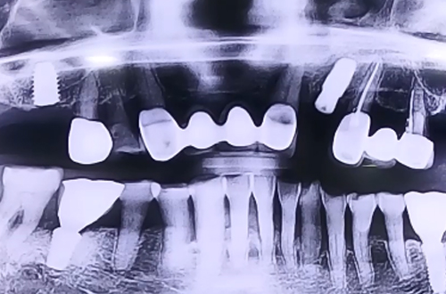
상악동거상술을 동반한 임플란트

22-05-23 더365치과




BEFORE
AFTER
연령/성별
치료 유형 상악동거상술 임플란트
치료 시작일
치료 완료일
주치의 멘트

오른쪽 위 가장 안쪽에 있는 어금니에 임플란트를 진행한 환자분이십니다.

상악동에 임플란트가 빠지지 않도록 뼈 없는 공간에 뼈를 올려주면서 상악동거상술과 뼈이식을 이용하여 임플란트 치료를 진행해 드렸습니다.

뼈이식을 많이 하게 되면 뼈이식한 뼈들이 단단하게 굳는 6개월 정도의 기간을 충분히 기다려준 뒤 보철이 완성되면 다음 진료일지로 찾아뵙도록 하겠습니다. ^^!